
高須クリニックの高須克弥院長が21日に自身のアメブロを更新。癌細胞の存在を確認し試みている治療についてつづった。
【動画】高須院長 新たな“がん”発覚「これから色々試せる。面白くなりそう」
4月28日のブログで、高須院長は「先日膀胱癌手術の際に試験採取した部位全部に尿路上皮癌検出」と尿路上皮がんが検出されたことを報告し「まだまだ癌治療は続く」とコメント。「色んな治療が経験できる」と前向きに述べ「楽しみなう」と心境を明かしていた。
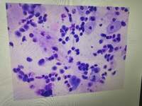
この日は「癌細胞めっけ」というタイトルでブログを更新し、自身について「抗癌剤を膀胱に注入する挑戦適癌治療を試みている」(原文ママ)と説明。「今日の細胞診で癌細胞の存在確認」と癌細胞の存在を確認したことを明かし「道まだ半ばなう」とつづり、ブログを締めくくった。



